Dental Implants at Tooth Town Dental Clinic, Coimbatore
Looking for the best dental implants in Coimbatore? At Tooth Town Dental Clinic, we specialize in advanced atraumatic dental extraction followed by precision dental implant placement to restore your smile and confidence. Led by the renowned Dr. Manikandan, our clinic offers state-of-the-art facilities and personalized care to ensure a seamless and pain-free dental implant experience.

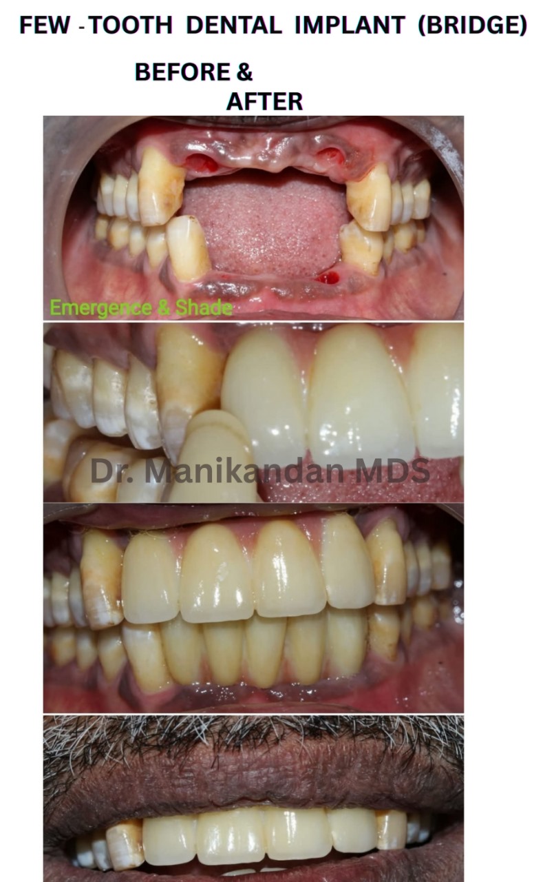
What are Dental Implants?
Dental implants are the most reliable and long-lasting solution for replacing missing teeth. These titanium fixtures are placed into the jawbone to act as a strong foundation for artificial teeth, such as crowns, bridges, or dentures. Unlike traditional dentures, dental implants look, feel, and function like natural teeth, offering unmatched comfort and durability.
Atraumatic Dental Extraction and Dental Implants
At Tooth Town Dental Clinic, we use atraumatic dental extraction techniques to carefully remove damaged or decayed teeth with minimal impact on the surrounding bone and tissue. This gentle, minimally invasive approach preserves the jawbone’s integrity, creating the ideal foundation for dental implants.
Following the extraction, our expert team will assess your oral health and jawbone structure to design a customized dental implant plan. With cutting-edge technology, we ensure precision placement of the implants, leading to better outcomes and faster recovery.
Why Choose Tooth Town Dental Clinic for Dental Implants in Coimbatore?
Expert Dentist – Dr. Manikandan
With over 25 years of experience, Dr. Manikandan is a trusted name in dental implantology. His expertise in atraumatic extractions and implant placement ensures a comfortable and successful treatment journey.
Advanced Technology
Our clinic is equipped with state-of-the-art technology, including 3D imaging and guided implant placement tools, ensuring accuracy and long-lasting results.
Personalized Treatment Plans
Every patient’s needs are unique. We provide tailored dental implant solutions that suit your oral health, lifestyle, and budget.
Pain-Free Procedures
Using modern anesthetics and minimally invasive techniques, we ensure a pain-free experience, from atraumatic extraction to implant placement.
High-Quality Materials
We use premium dental implant materials that integrate seamlessly with your jawbone and provide a natural appearance.
Benefits of Dental Implants
Natural Look and Feel: Implants replicate the look and function of real teeth.
Durability: With proper care, implants can last a lifetime.
Improved Oral Health: They prevent bone loss and maintain facial structure.
Enhanced Confidence: Enjoy a beautiful smile and speak or eat comfortably.
Facilities at Tooth Town Dental Clinic
3D Imaging and Diagnostics
Our clinic uses advanced imaging technologies to provide a detailed view of your jawbone and ensure precise implant placement.
Sterile Surgical Suites
We maintain a completely sterile environment to guarantee safety and minimize the risk of infection.
Guided Implant Placement Tools
Cutting-edge tools help us achieve precision during the procedure, resulting in optimal outcomes and quicker recovery.
Post-Treatment Care
We offer comprehensive follow-up care, including regular check-ups and guidance on maintaining your implants for long-term success.
Why Coimbatore Residents Trust Tooth Town Dental Clinic
Tooth Town Dental Clinic has earned a reputation as the go-to destination for dental implants in Coimbatore. Our combination of advanced technology, expert care, and a patient-centered approach ensures exceptional results for every individual.
Book Your Consultation Today!
Restore your smile with the best dental implants in Coimbatore at Tooth Town Dental Clinic. Whether you need atraumatic dental extractions or a full-mouth restoration, Dr. Manikandan and our team are here to provide you with world-class care.
Contact us today to schedule your consultation and take the first step toward a confident, healthy smile!







Reach out to Tooth Town Dental Clinic in Coimbatore today! Call us now or book online to experience expert dental care and transform your smile.